

El auge en la investigación y aplicación clínica de los materiales restauradores estéticos en la actualidad nos permiten alcanzar un alto grado de perfección en la integración de los mismos con su entorno bucal siendo a su vez cada día más conservadoras. logrando éstas pasar totalmente desapercibidas, por lo que podemos hablar de ODONTOLOGÍA INVISIBLE u ODONTOLOGÍA BIOMIMÉTICA.
Imitar en el campo de la ciencia implica reproducir o copiar un modelo como referente. Para reemplazar lo perdido debemos tener como referencia ineludible al diente ileso. Gracias a la evolución de nuevas técnicas y materiales desarrollados en las últimas décadas, como por ejemplo, la posibilidad de grabar los tejidos dentales (esmalte y dentina) con un ácido orgánico como cítrico o fosfórico para producir micro porosidades en los mismos, y la posterior aparición y evolución de las resinas compuestas, lo que permitió a la odontología adentrarse en el universo de la odontología adhesiva, que transformó dramáticamente la calidad de nuestras restauraciones estéticas.
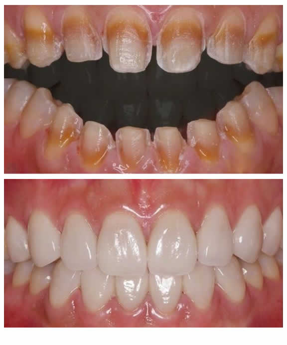
Los materiales restauradores actuales consiguen emular a la perfección químicas, físico-mecánicas, ópticas y estéticas de los tejidos constituyentes de las piezas dentarias (esmalte y dentina) obteniendose así obturaciones virtualmente "invisibles" que permiten corregir desde pequeños defectos de malposicionamiento de los dientes en la arcada, cierres de espacios interdentales o diastemas, eliminación de arreglos obsoletos color metálico, etc.
Dentro de las técnicas actuales para el sector anterior, contamos con la llamada técnica de adhesión con luz halógena, que consiste en la confección de restauraciones realizadas con materiales de resinas compuestas de última generación (micro híbridas), adheridas al diente por medio de diversos agentes de enlace o adhesivos a esmalte y dentina, y técnicas de estrtificación en capas, copiando la disposición de los tejidos normales del diente natural. Dichas resinas tienen características de color, opacidad y translucidez muy semejantes a la pieza dentaria, contando además con tintes o caracterizadores del color que posibilitan al profesional reproducir determinadas características de los dientes vivos, como por ejemplo manchas blanquecinas de descalcificación, o manchas parduzcas por tinciones o envejecimiento del esmalte. sumando a ello la técnica de estratificación del material por capas o estratos y el grado de pulimento final, nos da como resultado restauraciones altamente estéticas e integradas en su entorno, brindando una cohesión visual de conjunto de los dientes anteriores entre si, y con el marco de referencia del labio inferior.
También en el sector anterior podremos realizar carillas de porcelana. Estas restauraciones de recubrimiento parcial son laminados de cerámica muy finos y delgados que son adheridos a la cara anterior o frontal del diente, y nos permiten corregir o enmascarar distintos defectos estéticos, a saber: manchas o tinciones muy intensas por pigmentaciones de diversos tipos, malformaciones congénitas del esmalte, fracturas dentarias parciales, dientes con separaciones importantes (diastemas) donde se podrá realizar el cierre de los mismos satisfactoriamente, dientes abrasionados o desgastados, corrección de pequeñas mal posiciones dentarias, etc. En caso de destrucciones más severas podremos recurrir al uso de restauraciones periféricas totales conocidas comunmente como "coronas", las que pueden confeccionarse sobre un casquete de vidrio reforzado recubriendo el mismo totalmente por porcelana o cerámica, lo que incrementa notablemente su translucidez, debido a la ausencia del casquete metálico que llevan las coronas convencionales de porcelana sobre metal. Estas restauraciones se pueden confeccionar a través del uso de tecnología CAD-CAM (diseño asistido por computadora y fabricación asistida por computadora) por medio de un brazo robotizado que talla la restauración con extrema presición, lo que permite alcanzar un ajuste perfecto.Las características anatómicas y estéticas de estas restauraciones satisfacen completamente las espectativas de los pacientes más exigentes.
En el sector posterior de la boca han sido propuestos diversos métodos para el reemplazo de las viejas obturaciones metálicas de amalgama, cuyo mayor problema se atribuye a los fallos mecánicos por fracturas de las mismas, una estética deficiente y la formación de caries secundarias por procesos de filtración bacteriana en los margenes de las restauraciones.
Entre las opciones propuestas encontramos el uso de materiales similares a los utilizados en el sector anterior, pero respetando las indicaciones inherentes al tamaño de la cavidad y las intensas fuerzas masticatorias de este sector.
Para cavidades pequeñas o medianas podemos utilizar la técnica de luz halógena, que se realiza por método directo o se realiza en su totalidad dentro de la cavidad bucal, utilizando las resinas compuestas micro híbridas.
En grandes restauraciones, al aumentar la masa o volumen del material utilizado, aumenta consecuentemente el fenómeno de contracción de polimerización (factor C). Dicho fenómeno consiste en la contracción de fuera hacia dentro de la masa de resina que trae como consecuencia del despegamiento y desadaptación del material respecto de las paredes cavitarias facilitando la filtración marginal y fracaso de la obturación por formación de carie secundaria. Para solventar este problema se utilizan incrustaciones rígidas de resina compuesta o porcelana, que se realizan fuera de la boca a través de una técnica indirecta. Esta consiste en la toma de un moldeo o impresión de la preparación bucal y luego de confeccionar un modelo de trabajo en el laboratorio, se prepara un bloque rígido de estos materiales, que devolverá a la pieza dentaria sus funciones orales perdidas: anatomía, función y estética.
Dichas restauraciones son adheridas con un cemento resinoso que impide la filtración y garantiza el sellado marginal, mejorando el pronóstico de la pieza a largo plazo.
Por último las coronas serán indicadas cuando el grado de destrucción sea severo o cuando existan hábitos de apretamiento o parafunción nocturna (bruxismo).
Con todo este armamentario de materiales y técnicas a nuestra disposición, los odontólogos actuales contamos con una gran cantidad de argumentos al momento de solventar los problemas cotidianos en la consulta dental, pudiendo imitar a cabalidad la apariencia y funcionamiento del diente natural, alcanzando así el ideal propuesto por la ODONTOLOGÍA BIOMÉTICA.
Las Carillas de Porcelana son un tipo de carillas estéticas con un grosor entre 0,8 y 1,5 mm que se fijan a la parte frontal de los dientes mediante una resina especial y los recubre ofreciendo un cambio de aspecto radical a la sonrisa de los pacientes.
Se trata de las carillas que utilizan los famosos del cine, la televisión, el mundo de la moda, y en definitiva, las personas que necesitan lucir un físico espectacular. Las “sonrisas perfectas” de Hollywood se consiguen mediante carillas de porcelana.

Se realizan mediante porcelana (de ahí su nombre) que es un material muy duro que además resiste muy bien las abrasiones y los posibles cambios de color a los que están expuesto nuestros dientes constantemente debido a nuestros hábitos de consumo que con el tiempo los amarillean y les hacen perder el atractivo.
Al ser algo más gruesas que las carillas de composite, requieren tallar un poco el esmalte dental para reducir su superficie y así compensar el grosor de la carilla.
Cabe mencionar que aunque las carillas de porcelana tradicionales sí necesitan este tallado, con el avance de la tecnología están surgiendo diversas modalidades de carillas de porcelana, como pueden ser las Carillas Lumineers, que no necesitan realizar el tallado dental.
La valoración de cada caso concreto dependerá del dentista, que será quien mejor conozca los resultados y características de cada tipo de carillas y así podrá aconsejarte sobre el método adecuado a tus dientes, aun así, las carillas de porcelana pueden utilizarse para corregir los mismos problemas que cualquier carilla dental:
Los resultados de las carillas de porcelana siguen viéndose naturales a la vista, pero en comparación con las de composite, ofrecen unos resultados más llamativos por la perfección y el nivel de blancura que pueden conseguir.
El procedimiento de colocación de las carillas tradicionales se lleva a cabo en tres visitas al dentista:
1.- En la primera visita explicarás al dentista lo que quieres conseguir y él examinará tus dientes y decidirá el mejor tratamiento, que en este caso serían las carillas de porcelana. Deberás decidir (siempre con su consejo) qué color y forma te gustaría que tuviese tu nueva dentadura. Para ello te enseñará diversas tonalidades y modelos para que te hagas una idea y puedas elegirlo mejor.

2.- En la segunda visita, el dentista llevará a cabo la preparación de cada uno de los dientes en los que se vaya a colocar cada carilla de porcelana.
Para ello, se realizará un proceso de tallado dental, en el que se procederá a reducir poco a poco la superficie de los dientes naturales mediante herramientas específicas para el limado. Este tallado dental es necesario para así poder colocar las carillas.
El dentista reducirá el esmalte del diente entre 0,5 y 0,7 mm para compensar el grosor de las carillas y así poder colocarlas bien y que los dientes queden con un tamaño idóneo y no demasiado grandes (lo que pasaría si no se realizase el tallado). En esta parte del proceso se utiliza anestesia local para evitar la sensibilidad, ya que el limado del esmalte dental puede resultar algo molesto para el paciente.
Una vez tallados los dientes, estos quedarán un poco más pequeños de lo habitual y notarás unos pequeños espacios interdentales, pero una vez que se coloquen las carillas esos pequeños espacios entre los dientes quedarán cubiertos perfectamente.

Después del tallado, se tomarán medidas de tu dentadura mediante diversas fotos y moldes. Estos datos se enviarán al laboratorio junto con la información de los resultados que se esperan, y de esta manera se podrá construir cada carilla de forma exacta y totalmente personalizada.
Generalmente después de la reducción del esmalte se colocan carillas provisionales de composite para lucir mejor los dientes mientras se construyen las de porcelana. Esta sesión puede requerir varias horas dependiendo del número de dientes, el estado en el que se encuentren y por supuesto, la habilidad del dentista.
3.- En esta tercera y última visita, el dentista preparará cara carilla de porcelana limpiándola en antisépticos, la probará sobre tus dientes y una vez que des el visto bueno, se procederá a la colocación definitiva de las mismas.

Las carillas se fijarán fuertemente con una resina especial, por lo que podrás hacer una vida completamente normal y olvidarte de tus carillas como si se tratase de tus dientes originales.

Estas carillas realmente no requieren ningún tipo de cuidado especial. Bastará con que realices los cuidados normales que haces con tus dientes habitualmente para mantener la higiene bucodental. Aun así, nunca viene mal conocer algunos consejos para cuidarlas y mantenerlas como el primer día. A diferencia de las carillas de composite que requieren acudir al dentista al menos una vez al año para comprobar su estado y realizar el mantenimiento que precisen, las carillas de porcelana no precisan de estas visitas de mantenimiento, aunque serían aconsejables para realizar limpiezas profesionales.
No podemos saber con exactitud cuánto duran las carillas de porcelana, pero por hacer una media estimada, pueden durar fácilmente entre 15-20 años (incluso más) sin perder su color ni sufrir desperfectos. Esta duración dependerá de los hábitos de consumo del paciente que pueden atacar al color de los dientes (y las carillas) como puede ser consumir habitualmente productos como el tabaco, el café, el té, salsas como el kétchup…
Además de prestar atención a estos hábitos, conviene recordar que algunas acciones como morder o sujetar objetos duros con los dientes, o intentar cortar materiales con ellos, o partir cáscaras duras de algunos frutos secos, pueden provocar que se desprendan o se partan.
Con las carillas de porcelana pueden ocurrir principalmente tres cosas, que se despeguen, que se partan o que pierdan color.
En el primer caso bastaría con acudir al dentista para volver a pegarla, en caso de roturas se deberá volver a fabricar otra carilla, y ante la pérdida de color se podrá valorar la utilización de tratamientos de blanqueamiento u optar por la fabricación de una nueva carilla.